Kunduracı Göğsü Kapalı Ameliyatla İki Saatte Düzeltildi
Erken yorulma, çarpıntı, göğüs duvarında şekil bozukluğu ve bu şekil bozukluğu kaynaklı psikolojik olarak kendini sosyal çevresinden kısıtlama şikayetleriyle KTÜ Farabi Hastanesi’ne başvuran 26 yaşındaki Hamza Suiçmez isimli hastaya yapılan tetkikler neticesinde halk arasında kunduracı göğsü diye bilinen Pektus Ekscavatum hastalığı tanısı konuldu. Erken yorulma, çarpıntı şikayetlerinin sebebinin içeri doğru basık olan iman tahtasının kalp üzerine baskı yapması sonrası oluştuğu anlaşıldı.
Göğüs Cerrahisi Anabilim Dalı Başkanı ve KTÜ Farabi Hastanesi Başhekimi Prof. Dr. Celal Tekinbaş ve ekibi tarafından Kapalı Kunduracı Göğsü Ameliyatı (NUSS) yapılan hasta sağlığına kavuştu. Hasta, şikayetlerinin artık olmadığını en önemlisi de artık kendisini daha özgüvenli ve sosyal hissettiğini belirtti.
Operasyonu gerçekleştiren Başhekim Prof. Dr. Celal Tekinbaş’ın operasyonu yapılan hastalıkla ilgili vermiş olduğu bilgiler şu şekildedir:
Pektus Ekskavatum, halk arasında kunduracı göğsü olarak da bilinen hastalık, bir göğüs duvarı deformitesidir. Deformite, sternum denilen göğsün orta hattındaki iman tahtası kemiğiyle beraber kaburgalarla bağlantıyı sağlayan kıkırdak yapının içe doğru çökmesi durumudur.
Hastaların bir kısmı kunduracı göğsü görüntüsüne bağlı kozmetik rahatsızlık duyarak doktora başvurmaktadır. Bu gruptaki hastalar vücutlarındaki şeklin bozuk olduğunu fark etmesiyle başvurmaktadır. Diğer bir grup hasta ise kunduracı göğsü derecesine göre akciğer ve kalp baskısına bağlı olarak solunumsal problemlerle başvurmaktadır. Bu problemlerden en sık görülenleri göğüs ağrısı ve nefes darlığıdır. Kalp baskısı olan hastalarda kalp ritm problemleri de gözlenebilir. Derin kunduracı göğsü yani kunduracı göğsü derecesi yüksek hastalarda kalbin sol göğüs boşluğuna doğru yer değiştirdiği sıklıkla gözlenir.
Çocuk yaş grubundaki kunduracı göğsü hastalarında; oyun oynarken çabuk yorulma, nefes nefese kalma gibi durumları anne babalar gözlemleyebilir.
Kunduracı göğsü hastalığının nedenleri (etyoloji) tam olarak bilinmemektedir. Net olarak bir genetik geçiş gösterilmemiş olsa da genetik geçişin etkili olduğu düşünülmektedir. Hastaların yaklaşık %40‘ında bir aile öyküsü vardır.
Kunduracı göğsü teşhisi hastanın şikayetleri ve doktorun yaptığı muayene ile koyulur. Fizik muayeneye yardımcı olarak bazı görüntüleme yöntemleri ihtiyaç halinde kullanılabilir.
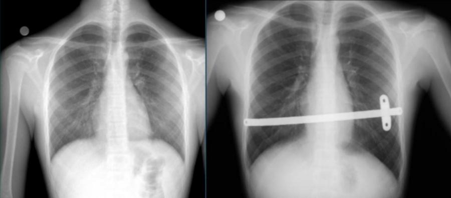
Röntgen: Kunduracı göğsü derecesinin belirlenmesi ve muhtemel ek problemleri görüntüleme amacıyla röntgen çekmekte fayda vardır.
Bilgisayarlı Tomografi (BT): Derin kunduracı göğsü hastalarında kalp ve akciğer baskısının varlığı ve derecesini ortaya koymak adına bilgisayarlı tomografi (BT) çekmek gerekebilir.
Ekokardiyografi: Bunların yanında bazı durumlarda kalp fonksiyonlarını değerlendirme amacıyla ekokardiyografi yapılabilir.

Kunduracı göğsü tedavisinde günümüzde Nuss yöntemi dediğimiz kapalı kamera yardımı ile çökük olan kısmın altından çelik veya titanyumdan üretilmiş bar denilen malzemenin konulması ile yapılır.
Nuss yöntemi, kamera eşliğinde kapalı olarak yapılan minimal invaziv ameliyat tekniğidir. Bu yöntemin daha kısa ameliyat süresi, estetik küçük ameliyat izleri, daha kısa hastanede kalış süresi ve ameliyat sonrası yüksek hasta konforu gibi avantajları bulunmaktadır.
22 Eylül 2021